Toggle navigation
About
Browse
Images
Download
Images
BMS
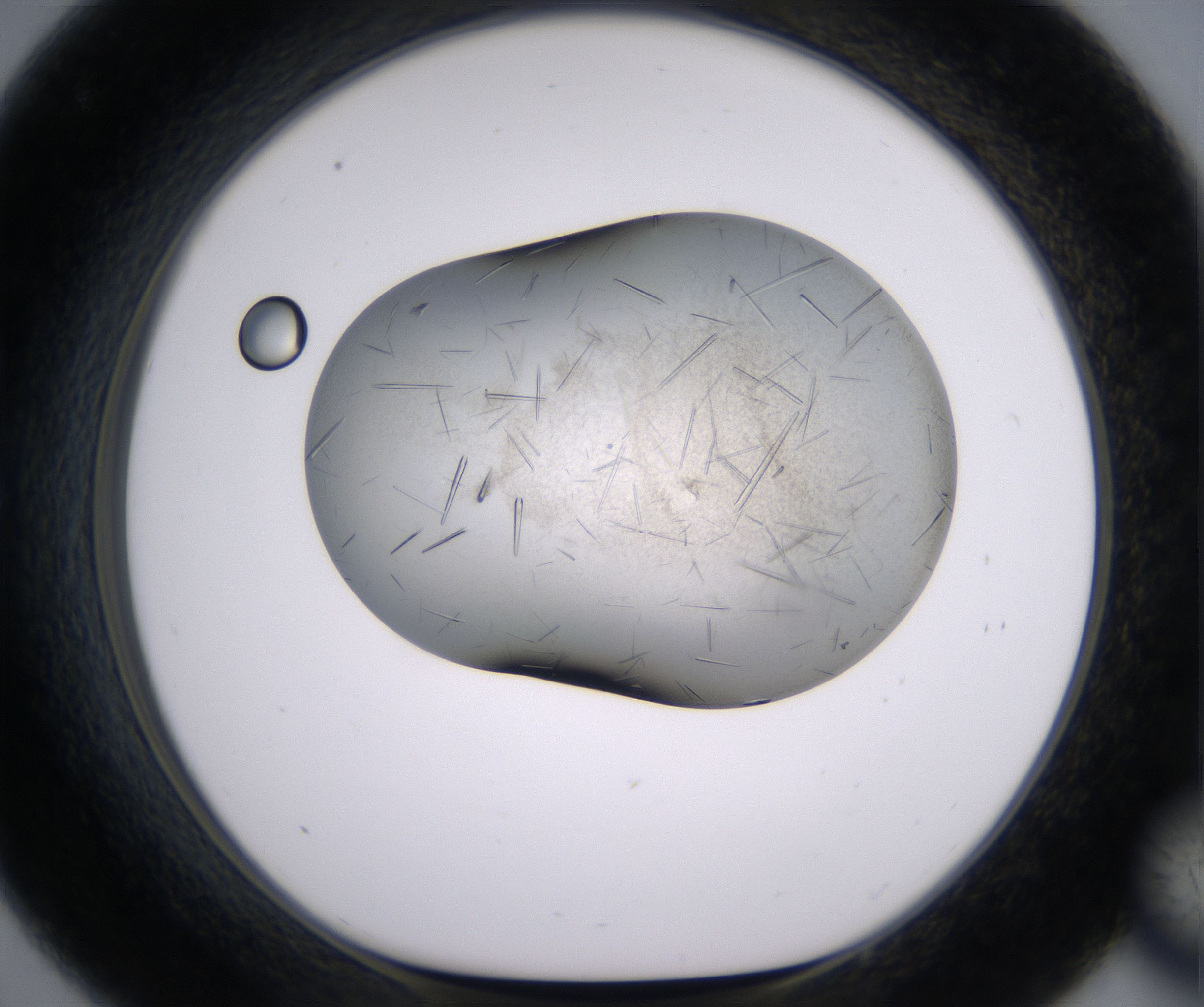
487811
Image 487811
Image Data
Score
Crystals
Organization
BMS
Tags
Name
C9_HighResolution_Crystal_1.jpg