Toggle navigation
About
Browse
Images
Download
Images
BMS
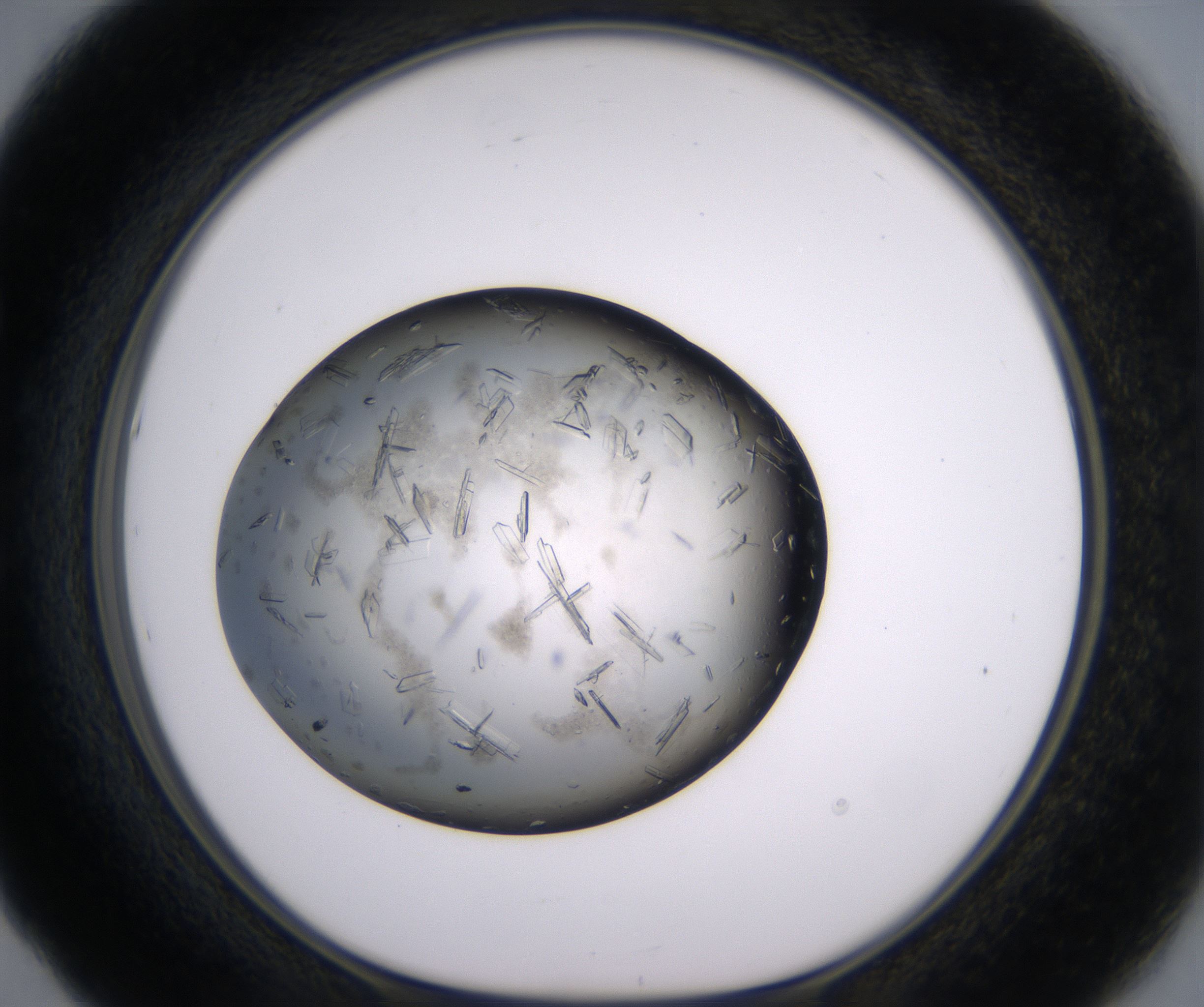
486871
Image 486871
Image Data
Score
Crystals
Organization
BMS
Tags
train
Name
E5_HighResolution_Crystal_1.jpg