Toggle navigation
About
Browse
Images
Download
Images
BMS
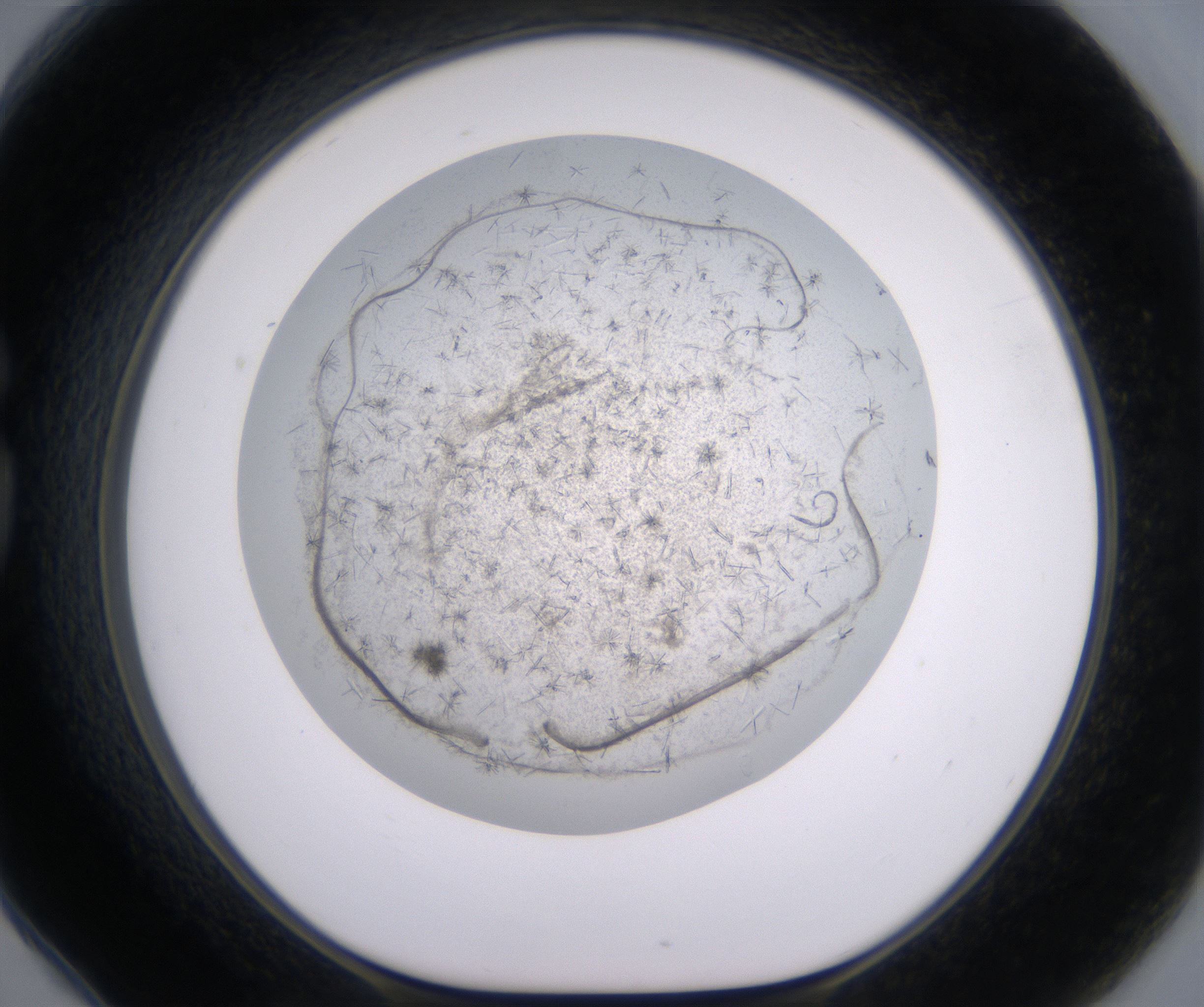
486320
Image 486320
Image Data
Score
Crystals
Organization
BMS
Tags
Name
G6_HighResolution_Crystal_1.jpg