Toggle navigation
About
Browse
Images
Download
Images
BMS
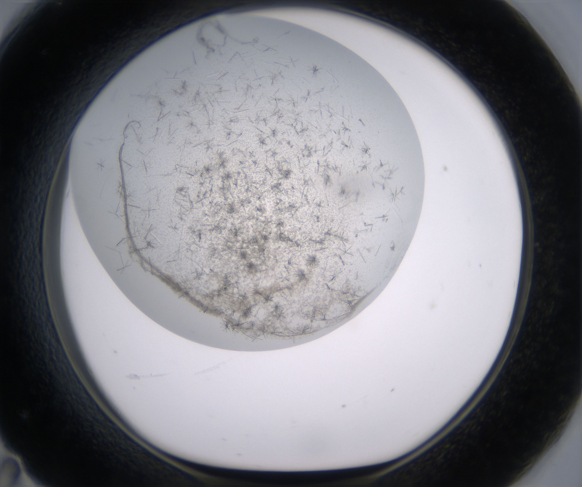
486301
Image 486301
Image Data
Score
Crystals
Organization
BMS
Tags
train
Name
F11_HighResolution_Crystal_1.jpg