Toggle navigation
About
Browse
Images
Download
Images
BMS
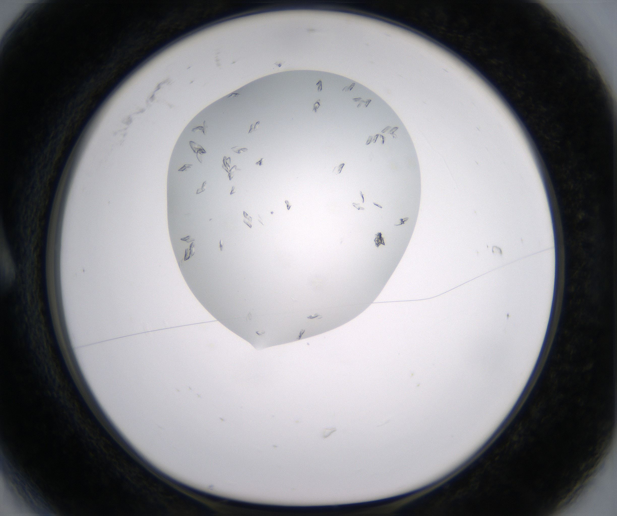
484433
Image 484433
Image Data
Score
Crystals
Organization
BMS
Tags
train
Name
A6_HighResolution_Crystal_1.jpg